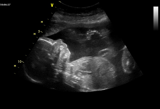
V pondělí jsme byli na speciálním vyšetření u pana doktora. Malý je naprosto v pořádku a viditelně mu náš zájem o něj dělá dobře, protože pěkně ukázal vše, co měl a navíc ještě prstíčky v pusince. 🙂 Musím říci, že to bylo strašně krásné a nečekané, když to udělal 🙂 a nejlepší na tom je, že to máme natočené na video! 😀
Poté nám pan doktor opět potvrdil, že budeme mít chlapečka. 🙂
Následně mě manžel pozval na sváteční oběd, který byl výborný. 🙂
V práci je tento týden „deadline“ pro vyúčtování služeb za rok 2014, takže většinu času trávím nad tabulkami 🙂 ale naštěstí jsem vše zvládla bez problémů a jakýchkoliv komplikací!
Ve čtvrtek jsme byli na oslavě narozenin kamaráda, v pátek a v sobotu jsme slavili moje kulaté narozeniny 🙂 vše bylo v naprosté pohodě a klidu, přesně tak, jak to má být! 🙂 A všechny dárečky byly moc pěkné a měla jsem z nich velkou radost. 😀
Tímto bych všem chtěla poděkovat za super narozeninový týden i za všechny dárečky! Bylo to super 🙂
Lucinka právě prožívá 21. týden těhotenství. Jak roste její miminko v bříšku a co se děje s ní?


