V pondělí má drahá polovička slavila narozeniny, takže jsem mu uvařila něco dobrého a přislíbila speciální překvapení ve formě dortu, co bude v sobotu následovat i s oslavou. Akorát má dvorní cukrářka a nejlepší kamarádka v jednom onemocněla, tak se oslava musela přesunout na další týden. Jako malé bolestné jsem uplácala Krtkův dort a dala na něj svíčky, improvizace proběhla úspěšně a manžel byl nadšený.
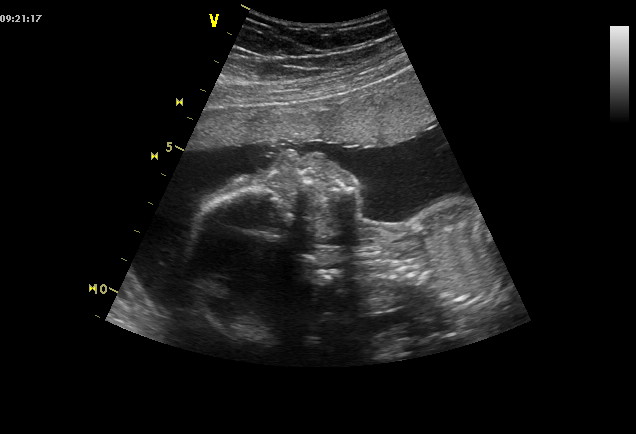
V úterý jsme šli společně na velký ultrazvuk na jednu kliniku a nevěřili jsme vlastním očím! Naše malá- velká Nikol má už skoro půl kg a je už pěkně veliká! Pan doktor kontroloval všechny Nikolčiny kosti, srdíčko, močový měchýř, ledviny, pupečník a odpovídá krásně všemu tak, jak má a prospívá. Krásně spolupracovala, takže jsme viděli opravdu všechno, protahovala se a mnula si očičko, tatínek s údivem sledoval velkou obrazovku a občas jsem ho přistihla, jak se usmívá. Každopádně to byl krásný zážitek a pan doktor pochválil krásně vznešený nosánek. Ten má po tatínkovi, je celá on z profilu.
Ve středu mě čekala klasická kontrola u obvodní gynekoložky a moc jsem se na ni netěšila. Hlavně jsem zaspala, pak jsem se naštěstí s 15 minutovým zpožděním přiřítila do čekárny, samozřejmě, že mi zase sestřička vynadala, že letím… Já jsem nepoučitelná! Vím, že mám spěchat pomalu, ale copak to jde? Tak jsem si dalších 20 minut počkala v čekárně, mezitím jsem si pěkně vydechla. Přišla sestřička a pozvala mě k sobě a tam mě zvážila, změřila tlak a následovala klasická otázka, jak se mám.[boxik: Hledáme novou budoucí maminku do KLUBU TĚHULEK!: Jste čerstvě těhotná?
Toužíte si zdokumentovat těhotenství na krásných fotografiích ateliéru Fotopromě?
Chcete mít navždy schovaný deníček vašeho těhotenství?
Hledáte podporu a nové kamarádky, které „v tom“ budou s vámi?
Odpověděla-li jste 4x ANO, tak nám napište na redakce@babyweb.cz svůj těhotenský příběh!]
Dneska je den D, je ošklivé počasí, prší, je zima, nálada na nic a ještě jsem zaspala, takže výborná kombinace a pokusila jsem se o úsměv, ale přirovnala bych to spíš k nucené křeči. Kontrola o nic lepší, vyšetření mě docela bolelo, ale se zděšeným výrazem paní doktorky jsem opravdu nepočítala! Sdělila mi verdikt, z něhož jsem se málem sesunula z vyšetřovacího křesla. Zkracuje se vám čípek, takže dodržujte absolutní přísný klidový režim a můžete maximálně jen na záchod, žádné vycházky, žádné vaření, prostě nic!To jsem teda opravdu nečekala a opět mě zavalil strach o tu naši holčičku..
Tak jsem slíbila, že se budu ládovat magneziem a budu jen ležet a nic víc. Odpoledne po menším šoku se dostavily křeče a bolesti, tak mě odvezl kamarád Pepa do Podolí a statečně na mě čekal v čekárně, manžel nemohl odjet z práce, tak ho zastoupil a jsem mu moc vděčná! Nakonec dlouhé vyšetření dopadlo dobře, čípek byl o 8 mm delší než z ranního měření a verdikt nebyl tak šílený a dodržovat absolutní klidový režim nemusím, šetřit se ano, ale ležet jak brouk s krovkami nahoře nemusím. Určitě nemusím zmiňovat strach, který se mě zmocnil po první ranní kontrole do odpoledního vyšetření, celkem jsem se uklidnila, ale ten strach opět o malou byl šílený.
POVÍDEJTE SI S LUCKOU A DALŠÍMI TĚHULKAMI V DISKUZI!
Čtvrtek byl ve znamení krásného a příjemného dne, měli jsme domluvenou schůzku pěti nastávajících maminek, co mají podobný termín. Sešly jsme se v pěkné restauraci a většina z nás ucucávala citronádu, smály jsme se, klábosily, prostě pěkné odpoledne. V neděli jsem se s Evčou ze srazu domluvili na kino, šly jsme na premiéru francouzského filmu o těhotných dívkách.
Tak to byl můj opět náročný týden, zítra mě čeká kontrola, tak doufám, že bude v pořádku a že nebudu muset do nemocnice a jen ležet.
Tak zase za týden Lucka a Nikolka!
Lucie právě prožila 23. týden těhotenství. Chcete vědět, co se v tomto týdnu děje s vaším tělem?


